提到“脑梗”,很多人第一反应是突发倒地、半身不遂的危急场景。然而,还有一类“沉默型”脑梗,像“温水煮青蛙”一样悄悄发生、缓慢进展,却同样可能带来严重的后果。它就是容易被忽视的——慢性脑动脉闭塞。

▲ 席刚明教授作慢性脑动脉闭塞相关学术讲座
什么是慢性脑动脉闭塞?
上海蓝十字脑科医院【同济大学附属脑科医院(筹)】学术副院长、4F脑血管病科主任席刚明教授介绍,通常认为,当脑血管闭塞时间超过4周,即属于慢性脑动脉闭塞。它多由脑血管狭窄性疾病缓慢发展而来,包括颈动脉、椎动脉、大脑中动脉等部位的慢性闭塞。
这种病具有隐匿性,在脑缺血较轻时,患者可能长期没有明显症状。但随着缺血持续或加重,可能出现:
· 头晕、头痛
· 手脚活动不灵、肢体麻木
· 视力下降
· 言语不清
· 严重时甚至偏瘫
数据显示,无症状患者卒中复发率较低,但有过短暂性脑缺血发作或轻型卒中的患者,年复发风险可达5%-6%;若存在血流动力学障碍,风险更高。
为什么会发生慢性脑动脉闭塞?
动脉粥样硬化是最主要的病因,约占70%,多见于老年男性。年轻患者则需警惕颈动脉夹层等因素。其他少见原因还包括肿瘤、动脉瘤、血管炎、烟雾病、外伤及颈部手术或放疗后损伤等。

▲ 动脉粥样硬化是慢性脑动脉闭塞最主要病因
治疗新选择:不开颅也能打通血管
以往,症状性慢性脑动脉闭塞以药物治疗为主,效果有限。如今,随着神经介入技术的发展,血管内再通手术为更多患者带来了新选择。
该项技术被誉为缺血性脑血管病介入治疗的“天花板”。医生在DSA等影像引导下,将导丝、导管送至闭塞处,运用球囊扩张、支架置入等技术,重新打通血管。手术难度高,需应对血管壁损伤、出血、血栓、高灌注风险等多重挑战,需要经验丰富的团队精细操作。
席刚明教授强调,并非所有患者都适合手术。通常,适合的患者往往存在明显脑血流灌注不足,或在规范药物治疗后神经症状仍持续加重。对这类人群,成功再通有助于改善脑血流,帮助恢复神经功能,提高患者生活质量。

▲ 席刚明教授、王贵平博士团队进行介入手术
真实案例:七旬老人成功打通关键“生命线”
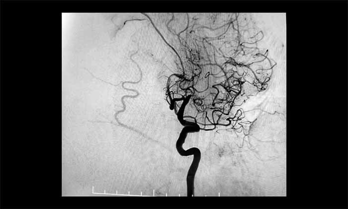
近日,一位70多岁患者因反复出现右侧肢体无力、言语含糊、口角流涎,被诊断为左侧大脑中动脉完全闭塞。他还合并颈内动脉动脉瘤、椎动脉狭窄等复杂问题,手术难度极高。其中,左侧大脑中动脉M1段的慢性完全性闭塞,是导致其神经功能缺损反复加重的主要原因。
席刚明教授、王贵平博士团队经过全面评估,最终在全麻下精细操作,利用微导丝穿过闭塞段,并以“球囊扩张+支架置入”完成血管再通,为患者打通这条关键的“生命线”。术后患者血流通畅,恢复良好。
近年来,该团队利用神经介入技术,已成功为众多患者开通闭塞的颈动脉、椎动脉和大脑中动脉,帮助他们重获健康生活。

▲ 左侧大脑中动脉完全闭塞

▲ 左侧大脑中动脉顺利开通
预防为主,守护大脑从健康生活做起
尽管治疗手段不断进步,预防仍是根本。席刚明教授建议,预防脑动脉闭塞,从以下五点做起:
• 管好“三高”:定期监测血糖、血压、血脂,延缓动脉硬化。
• 坚持运动:根据自身情况,保持规律锻炼,增强血管弹性。
• 健康饮食:少盐少油,多吃蔬菜水果,戒烟限酒。
• 关注房颤:房颤是脑卒中的重要诱因,需定期筛查并规范治疗。
• 定期体检:尤其是有中风家族史或高危因素的人群,应早筛查、早干预。
最后,席刚明教授强调,慢性脑血管闭塞虽起病隐匿,但危害不容小觑。随着血管内再通等技术的成熟,越来越多的患者有机会通过介入手术重获血流,改善预后。但归根结底,早预防、早发现、早治疗,才是守护大脑健康的关键。
版权声明:部分图片源自摄图网,如有版权纠纷,请及时联系医院。一经查实,将立即删除。注:内容仅供参考,如有不适请及时就医,以医生建议为准。
文章部分来源:环球时报健康客户端、上观新闻、福州晚报
此文章仅作为临床学术研究、学术交流使用!